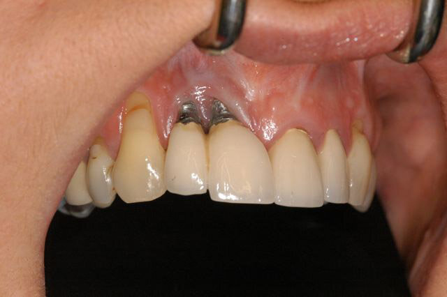
ایمپلنت دندان یکی از روشهای پیشرفته و مؤثر برای جبران دندانهای از دست رفته است که دوام بالا و ظاهر طبیعی دارد. با این حال، در برخی موارد ممکن است پس از انجام عمل ایمپلنت، مشکلاتی نظیر پس زدن ایمپلنت به وجود آید. این وضعیت ممکن است منجر به درد، التهاب یا مشکلات دیگر شود که نیازمند تشخیص سریع و درمان مناسب است. در این مقاله، علائم پس زدن ایمپلنت، علل بروز این مشکل و روشهای درمان آن را بررسی میکنیم.

علائم پس زدن ایمپلنت دندان
پس زدن ایمپلنت دندان به دلایل مختلفی رخ میدهد که در ادامه به بررسی آنها میپردازیم.
درد مداوم یا شدید
یکی از رایجترین علائم پس زدن ایمپلنت دندان، درد مداوم است. در حالی که کمی درد و ناراحتی پس از جراحی طبیعی است، اگر این درد به صورت شدید و طولانیمدت باقی بماند، ممکن است نشاندهنده وجود مشکل در ایمپلنت باشد.
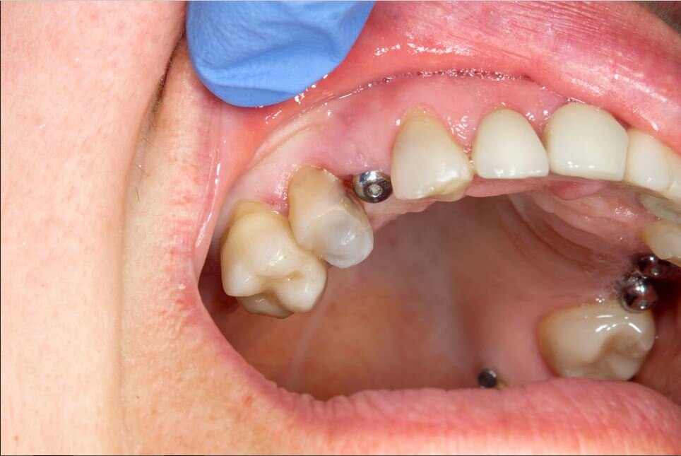
تورم و التهاب در ناحیه جراحی
تورم و التهاب در ناحیهای که ایمپلنت کاشته شده، یکی دیگر از علائم هشداردهنده پس زدن ایمپلنت است. این علائم ممکن است به دلیل عفونت یا واکنش بدن به جسم خارجی در نظر گرفته شود.
عفونت و خونریزی
اگر ایمپلنت به درستی به استخوان فک متصل نشود، ممکن است باعث ایجاد عفونت در ناحیه جراحی شود. این عفونت با علائمی مانند خونریزی، درد و بوی بد همراه است.
جابجایی یا تکان خوردن ایمپلنت
یکی دیگر از علائم پس زدن ایمپلنت، جابجایی یا تکان خوردن ایمپلنت است. اگر احساس کنید ایمپلنت در دهان شما تکان میخورد یا حرکت میکند، این احتمال وجود دارد که اتصال ایمپلنت به استخوان فک به درستی برقرار نشده باشد.
این علائم در صورت مشاهده باید جدی گرفته شوند تا از بروز مشکلات جدیتر جلوگیری شود و درمان به موقع انجام گیرد.
علتهای پس زدن ایمپلنت
پس زدن ایمپلنت دندان ممکن است به دلایل مختلفی رخ دهد:
- عفونت در ناحیه جراحی
- عدماتصال مناسب ایمپلنت به استخوان
- بیتوجهی به مراقبتهای بعد از جراحی
- مشکلات سیستم ایمنی بدن
- استفاده از ایمپلنتهای بیکیفیت یا نامناسب
- سیگار کشیدن و مصرف الکل
- مراقبت نادرست از بهداشت دهان
- مشکلات فک یا استخوان ضعیف
این عوامل در کنار هم میتوانند به پس زدن ایمپلنت منجر شوند و مهم است که برای جلوگیری از بروز مشکلات، مراقبتهای لازم انجام شوند و در صورت بروز هرگونه علامت غیرعادی، سریعاً به دندانپزشک مراجعه گردد.

راه های پیشگیری از پس زدن ایمپلنت
برای پیشگیری از پس زدن ایمپلنت دندان، رعایت نکات زیر ضروری است:
انتخاب دندانپزشک متخصص و با تجربه
انجام جراحی ایمپلنت توسط دندانپزشک متخصص و باتجربه میتواند خطرات پس زدن ایمپلنت را کاهش دهد. دندانپزشک باید با ارزیابی وضعیت کلی سلامت دهان و دندان و تشخیص دقیق، ایمپلنت مناسب را انتخاب کند.
رعایت مراقبتهای بعد از جراحی
مصرف داروهای تجویزی، پرهیز از فشار زیاد روی ایمپلنت و پیگیری منظم با دندانپزشک برای بررسی روند بهبودی، از جمله مراقبتهای ضروری بعد از جراحی هستند که به بهبودی بهتر کمک میکنند.
رعایت بهداشت دهان و دندان
مسواک زدن و نخ دندان کشیدن روزانه برای جلوگیری از تجمع پلاک و باکتریها در اطراف ایمپلنت ضروری است. بهداشت ضعیف دهان میتواند باعث عفونت و التهاب شود که میتواند به پس زدن ایمپلنت منجر شود.
اجتناب از سیگار کشیدن و مصرف الکل
سیگار کشیدن و مصرف الکل میتوانند فرآیند بهبودی را مختل کرده و ریسک عفونت و عدم جوش خوردن ایمپلنت به استخوان را افزایش دهند. بنابراین، اجتناب از این موارد میتواند شانس موفقیت ایمپلنت را به طور قابل توجهی افزایش دهد.
ارزیابی وضعیت استخوان فک
قبل از جراحی ایمپلنت، باید وضعیت سلامت و ضخامت استخوان فک ارزیابی شود. اگر استخوان فک ضعیف یا تحلیل رفته باشد، ممکن است نیاز به پیوند استخوان یا درمانهای دیگر قبل از کاشت ایمپلنت باشد.
استفاده از ایمپلنتهای با کیفیت بالا
انتخاب ایمپلنتهای با کیفیت و استاندارد، متناسب با نیاز بیمار، میتواند از بروز مشکلاتی همچون پس زدن ایمپلنت جلوگیری کند. ایمپلنتهای بیکیفیت یا نامناسب ممکن است در برابر فشارها و تغییرات دهانی آسیبپذیرتر باشند.
رعایت این اصول خطرات پس زدن ایمپلنت را به حداقل رسانده و به موفقیت طولانیمدت ایمپلنت کمک میکند.

چگونه پس زدن ایمپلنت درمان میشود؟
درمان پس زدن ایمپلنت دندان بستگی به علت بروز مشکل و شدت آن دارد. در صورتی که پس زدن ایمپلنت به دلیل عفونت یا التهاب باشد، دندانپزشک ممکن است درمانهایی مانند تجویز آنتیبیوتیکها برای کنترل عفونت و کاهش التهاب را توصیه کند. در برخی موارد، اگر ایمپلنت دچار تکان خوردن یا جابجایی شده باشد، ممکن است نیاز به جراحی مجدد برای تعویض یا اصلاح ایمپلنت باشد.
در صورتی که مشکل به دلیل عدم جوش خوردن ایمپلنت به استخوان (اوسئواینتگریشن) ایجاد شده باشد، ممکن است نیاز به پیوند استخوان یا درمانهای اضافی برای تقویت استخوان فک باشد. ایمپلنت دیجیتال در مشهد یکی از روشهای نوین در کاشت دندان است که با استفاده از تکنولوژی پیشرفته، دقت و سرعت جراحی را افزایش میدهد.
جمعبندی
پس زدن ایمپلنت ممکن است ناشی از عوامل مختلفی باشد از جمله عفونت، عدماتصال مناسب ایمپلنت به استخوان فک یا مشکلات مربوط به مراقبتهای بعد از جراحی. شناسایی علائم اولیه و مراجعه به پزشک در زمان مناسب از بروز مشکلات جدیتر جلوگیری میکند. با رعایت نکات مراقبتی و پیگیریهای لازم، امکان درمان این مشکل وجود دارد و میتوان به بازگشت به وضعیت طبیعی دست یافت. یکی از بهترین مراکز ارائه خدمات ایمپلنت در مشهد، درسا کلینیک مشهد است که با استفاده از تجهیزات پیشرفته، درمانهای ایمپلنت را با کیفیت بالا ارائه میدهد.
سوالات متداول
آیا درد پس از ایمپلنت طبیعی است؟
بله، در ابتدا پس از انجام جراحی ایمپلنت دندان، درد و ناراحتی خفیفی ممکن است وجود داشته باشد. این علائم معمولاً با مصرف داروهای ضد درد برطرف میشوند. اما اگر درد شدید یا طولانیمدت باشد، ممکن است نشانهای از پس زدن ایمپلنت باشد.
چه علائمی نشاندهنده پس زدن ایمپلنت هستند؟
علائمی مانند درد مداوم، تورم و التهاب در ناحیه جراحی، عفونت یا خونریزی، و یا جابجایی یا تکان خوردن ایمپلنت از نشانههای پس زدن ایمپلنت هستند. در صورت بروز این علائم باید فوراً به دندانپزشک مراجعه کنید.
آیا پس زدن ایمپلنت قابل درمان است؟
بله، پس زدن ایمپلنت قابل درمان است. در بسیاری از موارد، با درمانهای دارویی و مراقبتهای ویژه میتوان مشکل را حل کرد. در صورت لزوم، ممکن است نیاز به تعویض ایمپلنت باشد، ولی پزشک بهترین گزینه درمانی را بر اساس وضعیت شما توصیه خواهد کرد.
نظر شما