مدت زمان مصرف آنتی بیوتیک برای عفونت دندان چقدر است؟ برای عفونت دندان، آبسه، پوسیدگی دندان و عفونت بعد از کشیدن دندان چند روز قرص بخوریم؟ راهنمایی دقیق و نکات مهم درمانی را بخوانید.
برای عفونت دندان چند روز قرص بخوریم؟
یکی از پرتکرارترین سوالات بیماران دندانپزشکی این است که: برای عفونت دندان چند روز قرص بخوریم؟ چه قرصی بخوریم؟ آیا بعد از تسکین درد، باید دارو را قطع کنیم؟ پاسخ این پرسش بسته به شدت عفونت، میزان درد، نوع درگیری لثه و نوع داروی تجویزی متفاوت است. اما معمولا مصرف داروهای عفونتی سطحی بین ۳ تا ۵ روز و برای عفونت های شدید ۷ تا ۱۰ روز توصیه می شوند. در این مقاله به بررسی دقیق مدت زمان دارو در انواع مختلف عفونت دندانی می پردازیم و نوع دارو را بر اساس زمان و شدت درد را بررسی خواهیم کرد تا دوره درمان خود را به خوبی طی کنید.
مدت زمان مصرف قرص برای عفونت دندان چقدر است؟
مدت زمان مصرف قرص برای عفونت دندان، بسته به شدت عفونت، نوع دارو و وضعیت بدن بیمار بین ۳ تا ۱۰ روز متغیر است:
| نوع قرص |
مدت مصرف قرص |
شدت عفونت |
| آموکسی سیلین |
۳ تا ۵ روز |
خفیف |
| آموکسی سیلین + مترونیدازول |
۵ تا ۷ روز |
متوسط |
| کلیندامایسین یا سفالکسین قوی تر |
۷ تا ۱۰ روز یا بیشتر |
شدید |
| بر اساس وضعیت بیمار |
۷ تا ۱۰ روز |
در بیماران خاص(د یابتی، نقض ایمنی) |
برای التهاب لثه چند روز قرص بخوریم؟
التهاب لثه معمولا به درمان دارویی نیاز ندارد و با بهداشت دهان و جرمگیری کنترل می شود. علائم آن قرمزی و خونریزی لثه، بوی بد دهان و درد خفیف است.
- داروی رایج: آموکسی سیلین ۵۰۰، دهان شویه کلرهگزیدین
- مدت مصرف: ۳ تا ۵ روز در کنار جرم گیری
مدت روز مصرف قرص برای آبسه لثه ای سطحی
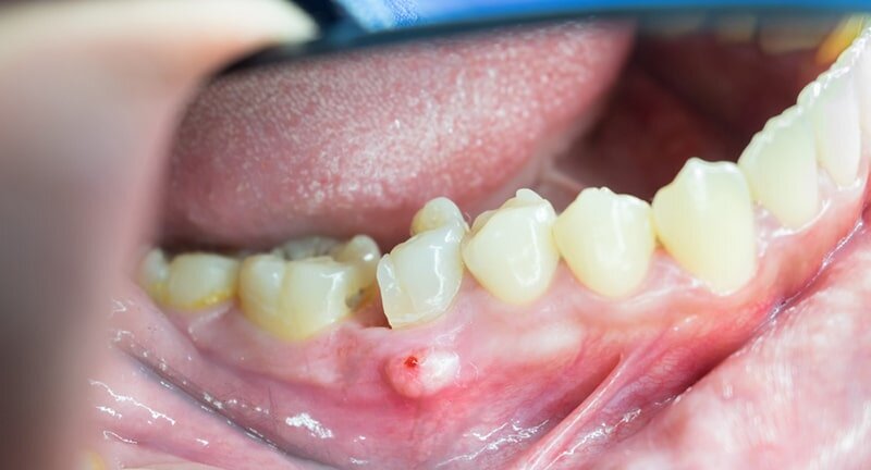
اگر در شرایط آبسه لثه تخلیه چرک انجام شود، مدت مصرف دارو کوتاه تر می شود. علائم آن نیز تورم نقطه ای روی لثه، درد متوسط و ترشح چرک است.
- داروی رایج: آموکسی سیلین، مترونیدازول
- مدت مصرف: ۵ تا ۷ روز
چه مدت باید برای عفونت متوسط (آبسه دندانی یا درگیری پالپ) قرص خورد؟

علائم عفونت آبسه دندان یا درگیری پالپ شامل درد متوسط تا شدید و ضربان دار، حساسیت شدید به گرما و سرما، تورم قابل مشاهده در اطراف فک یا صورت و احتمال تب خفیف می شود.
- داروی رایج: آموکسی سیلین، کلیندامایسین برای افراد حساس به پنی سیلین
- مدت مصرف: ۵ تا ۷ روز با تاکید مصرف منظم.
برای چنین درد هایی با شدت بالا حتما قبل از دردسرهایی چون افزایش بیشتر عفونت یا از دست رفتن دندان و در نتیجه بیشتر شدن هزینه درمان به پزشک مراجعه کنید. مراحل درمان فوری آبسه دندان با قرص و علائم و عوارض به تعویق انداختن درمان تخصصی آن را اینجا ببینید.
راهنمای مدت روز مصرف قرص برای عفونت شدید یا سلولیت دندانی
بیمار در این شرایط دچار تورم گسترده صورت یا گردن، تب بالا، درد شدید، مشکل در بلع یا باز کردن دهان می شود.
- داروی رایج: آنتی بیوتیک های قوی مانند کلیندامایسین
- مدت مصرف قرص: ۷ تا ۱۰ روز یا بیشتر
در هنگام عفونت اطراف دندان عقل ( پریکورونیت) چند روز قرص مصرف کنیم؟
علائم بیمار در صورت داشتن عفونت اطراف دندان عقل شامل ورم اطراف دندان عقل، درد هنگام جویدن و بوی بد دهان می شود.
- داروی رایج: آموکسی سیلین یا کلیندامایسین
- مدت مصرف: ۵ تا ۷ روز
مدت زمان مصرف قرص برای عفونت بعد از کشیدن دندان
عفونت بعد از کشیدن دندان، علائمی مانند درد شدید، تورم و بوی بد دهان دارد که معمولا همراه با شستشو و پانسمان مجدد درمان می شود. اما قرص مناسب برای جلوگیری از عفونت نیز تجویز می شود.
- نوع دارو: آموکسی سیلین یا مترونیدازول
- مدت مصرف: ۵ روز
عفونت فیستول دندانی و درمان آن
فیستول نشانه باقی ماندن منشا عفونت است و با علائمی مانند خروج چرک مداوم از سوراخ روی لثه و درد مزمن همراه است.
- نوع قرص: آنتی بیوتیک؛ اما نیاز به درمان ریشه یا جراحی دارد.
- مدت مصرف: ۵ تا ۷ روز در کنار درمان اصلی
مدت زمان لازم برای مصرف قرص اسئومیلیت (عفونت استخوان فک)
عفونت استخوان فک با علائمی مانند درد مداوم، بی حسی فک و تب همراه خواهد بود.
- نوع دارو: آنتی بیوتیک های تخصصی و قوی با تجویز پزشک
- مدت زمان مصرف: ۱۰ تا ۱۴ روز
مصرف قرص در زمان مشخص برای پوسیدگی دندان
بیش از ۹۰% عفونت های دهان و دندان از یک دندان پوسیده آغاز می شوند. پوسیدگی باعث ورود باکتری ها به بافت های داخلی دندان می شود و با علائمی همچون درد شدید، حساسیت به نوشیدنی های گرم و سرد، مزه چرک در دهان و تورم لثه همراه است.
- نوع قرص: آموکسی سیلین ۵۰۰، مترونیدازول ۲۵۰ تا ۵۰۰ میلی گرم
- مدت زمان مصرف قرص: بین ۵ تا ۷ روز
توجه توجه !
اگر مصرف دارو برای درمان عفونت کافی نباشد، باید از طریق عصب کشی دندان آن را درمان کرد.توجه داشته باشید حداکثر بعد از حدود ۶ ماه پس از عصب کشی از انجایی دندان دیگر ریشه ای ندارد و به شدت ضعیف شده است و احتمال شکستن و ریزش مواد بعد از مدتی وجود دارد حتما برای افزایش عمر دندان و درمانی که انجام داده اید، دندان را روکش کنید. در غیر اینصورت با از دست رفتن مجدد دندان احتمالا نیاز به ایمپلنت با هزینه بالا پیدا میکنید. قیمت روکش دندان و انواع روکش های معمولی تا زیرکونیا را اینجا ببینید.
نکات بسیار مهم برای مصرف داروی عفونتی دندان که باید به آن توجه داشت!

- حتی اگر درد و علائم زودتر برطرف شدند تا انتهای دوره، دارو را مصرف کنید. قطع زود هنگام دارو ممکن است باعث برگشت یا شدیدتر شدن عفونت شود.
- در صورت بروز علائم حساسیت مانند کهیر یا خارش، فورا مصرف دارو را متوقف کرده و به پزشک مراجعه کنید.
- گاهی عفونت نیاز به درمان ریشه یا تخلیه چرک دارد، نه فقط قرص. پس بدون تجویز پزشک، خودسرانه دارو مصرف نکنید.
- اگر تب، ورم یا درد مداوم دارید و مصرف دارو کافی نیست، احتمالا نیاز به درمان فوری تر مثل کشیدن یا درمان ریشه و عصب کشی دارید.
چه زمانی نباید مصرف قرص را قطع کنیم؟
اگر فقط کمی از علائم مانند درد یا تورم بهبود یافته اند، نباید دارو را قطع کنید. آنتی بیوتیک ها باید تا انتهای دوره (معمولا ۵ تا ۱۰ روز) کامل مصرف شوند، زیرا قطع زودهنگام دارو ممکن است باعث عفونت یا مقاوم شدن باکتری ها شود. مصرف آنتی بیوتیک و مدت زمان مصرف آن باید همیشه با تجویز پزشک و تحت نظر او انجام شود.
آیا عفونت دندان با مصرف ۲ روزه قرص، درمان می شود؟
خیر؛ یکی از باورهای اشتباه است که با مصرف ۲ روز آنتی بیوتیک، عفونت از بین می رود. حدود ۶۰% از بیماران، مصرف آنتی بیوتیک را پس از کاهش درد به طور خودسرانه قطع می کنند. برای کنترل کامل عفونت و جلوگیری از گسترش آن، باید حداقل ۵ تا ۷ روز دارو مصرف شود. قطع زود هنگام دارو نه تنها درمان را ناقص می کند، بلکه ممکن است منجر به بازگشت مجدد عفونت یا حتی شدیدتر شدن آن شود.
درمان عفونت دندان؛ از تجویز دارو تا جراحی در کلینیک آمیتیس

عفونت دندان معمولا با ۵ تا ۷ روز مصرف آنتی بیوتیک درمان می شود که در موارد شدیدتر طول دوره مصرف آن تا ۱۰ روز طول می کشد. اما نکته مهم این است که فقط با قرص خوردن، عفونت به طور کامل درمان نمی شود. مصرف دارو بدون درمان علت اصلی عفونت مانند پوسیدگی یا آبسه، فقط موقتی است و بیماری مجددا باز میگردد.
عفونت دندان اگر به زودی درمان نشود باعث گسترش آن در فک، ریشه و استخوان فک می شود. برای معاینه تخصصی و درمان قطعی، همین حالا وقت خود را در کلینیک تخصص دندانپزشکی آمیتیس رزرو کنید. مرکز آمیتیس با بهترین دکتر عصب کشی در تهران، درمانی تخصصی برای عفونت، ترمیم و زیبایی ارائه می دهد.
نظر شما